7 年
手机商铺
入驻年限:7 年
曼小博
上海 浦东新区
试剂、耗材、实验室仪器 / 设备、ELISA 试剂盒、抗体、技术服务、细胞库 / 细胞培养、书籍 / 软件
代理商
公司新闻/正文
172 人阅读发布时间:2025-09-03 11:08
在药物研发赛道上,您是否仍受“体外数据与体内结果脱节”的困扰?在肝疾病机制研究中,是否因“细胞模型缺乏生理相关性”而止步?要知道,肝脏研究是创新药研发的“生死线”——行业数据显示,约40%的临床前候选药物因未能准确预测肝代谢或肝毒性终止开发,仅30%的体外代谢数据能与人体临床试验结果吻合。对药物研发而言,选择一套可真实复刻人体肝脏生理状态的研究工具,不仅是提升筛选效率的关键,更是降低后期研发风险、加速IND申报的核心突破口。
LifeNet Health深耕人类肝脏原代细胞领域多年,以“供体多样性、功能稳定性、场景适配性”为核心,搭建起覆盖悬浮细胞、贴壁细胞、非实质细胞及专用培养基的完整体系。LifeNet Health凭借高标准的组织采集与处理流程,以及成熟的细胞分离技术,有效提升了复苏后细胞的活力与功能稳定性,为科研领域提供兼具高品质与性能的细胞及组织样本。目前,其提供的人原代肝细胞和组织样本,适用于靶点识别、靶点验证、高通量筛选、药代研究、肝毒性评估、药效评估、器官芯片、3D培养、代谢稳定性研究及检测方法开发等多类药物研发场景。
在药物发现早期,需对数百个候选化合物进行快速代谢稳定性评估,这就要求细胞模型具备“即拿即用”的便捷性与活力稳定性。
LifeNet Health的20例供体混合悬浮型原代肝细胞:

图1. 细胞复苏后,活力稳定性评估

图2. 细胞复苏后,显微镜视野(明场,200×)
在药物开发的早期阶段采用多种体外肝细胞培养策略。例如,悬浮测定可用于预测化合物的药代动力学和清除率,而三明治夹层培养模型系统可用于评估药物摄取和外排转运蛋白,或评估化合物通过诱导或抑制肝酶产生不良相互作用的可能性。持续时间更长、代谢更稳定的肝细胞培养系统被用于研究药物代谢和转运以及药物诱导的体外肝损伤。这些长期原代肝细胞培养模型在解决低周转率药物的长期清除问题方面十分有用。
LifeNet Health根据复苏后细胞的贴壁培养时长,将贴壁型肝细胞分短期,中期和长期贴壁细胞3种类型,分别可贴壁培养1-4天;5-9天和10-14天。可根据实验周期选用合适的细胞类型进行实验,为实验项目适配一个高性价比的细胞:

图3. 人原代贴壁肝细胞(健康)

图4. 人原代肝细胞球体形成
肝脏的生理功能依赖肝细胞与非实质细胞(NPCs)的协同作用,仅用肝细胞难以模拟药物引发的免疫介导肝损伤、肝窦阻塞等复杂毒性。LifeNet Health的供体匹配NPCs套装(星状细胞SC、库普弗细胞KC、内皮细胞LEC),构建“完整肝脏微环境”:

图5. 人原代肝细胞共培养
细胞的活力与功能依赖适配的营养环境,LifeNet Health针对原代肝细胞的不同培养阶段,开发全流程专配培养基,从复苏到长期培养,每一步都为细胞提供“营养方案”,避免因培养基不当导致的功能衰减:

图6. 人原代肝细胞与原代肝细胞复苏培养基

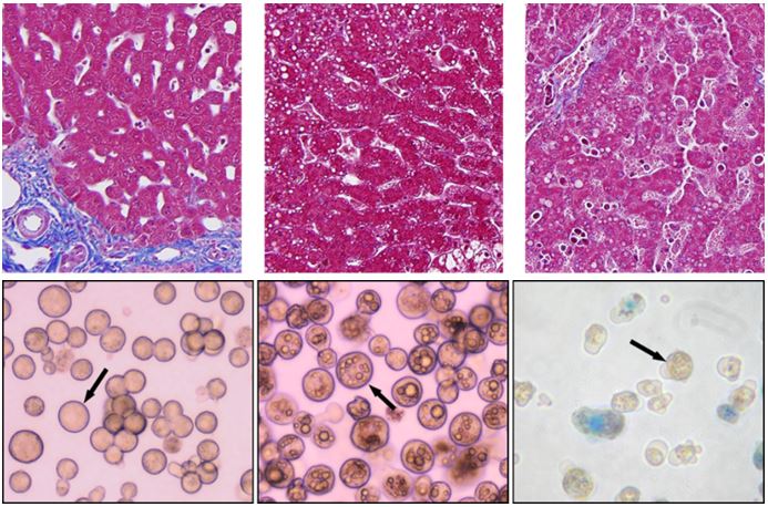
图7. 来自正常肝脏、脂肪肝脏和受损肝脏的组织切片和肝细胞(从左到右)

图8. 基因分型(酶与肝疾病相关)
于药企而言,IND申报阶段的“数据溯源”与“合规性”是核心。LifeNet Health的全系列产品为申报提供完整支撑:
40年来,LifeNet Health始终以“激活捐献者细胞与组织的价值,助力医学与生命科学突破”为目标,从样本获取的合规性、细胞功能的稳定性,到模型构建的完整性,每一个环节都承载着对科研严谨性的尊重。对于追求“高质量数据”的科研与药物研发人员而言,这样的细胞与样本体系,不仅是实验工具,更是推动研究向临床转化的可靠伙伴。
更多LifeNet产品相关问题,欢迎咨询上海曼博生物!